网站首页
医院概况
新闻动态
就医指南
特色医疗
健康园地
专科导航
医院管理
站内搜索
体检系统
您现在的位置 :
首页
>
特色医疗
> 正文
网站介绍
医院概况
新闻动态
就医指南
特色医疗
健康园地
专科导航
医院管理
站内搜索
招聘信息
体检系统
我院骨外科成功开展首例双膝关节骨性关节病保膝手术
日期:2018-11-24 09:53:58
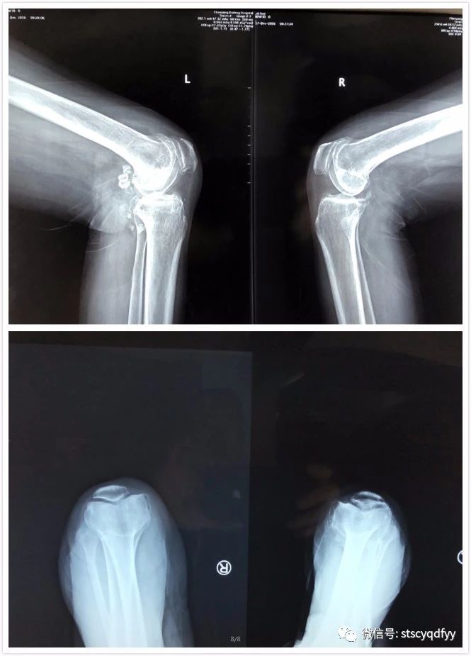
近日,我院骨外科为一名老年膝关节骨性关节炎患者成功实施了保膝手术,矫正了膝关节内翻畸形,恢复了关节的正常力线及功能,缓解了疼痛症状,在其适应症范围内为面临膝关节置换的患者提供了新的治疗选择和保膝机会。
患者庄某,女性,69岁,6年来反复出现双膝关节疼痛,呈阵发性,活动后加重,休息可缓解,近2年来疼痛加剧,下蹲困难,明显影响行走,左膝尤明显,口服消炎止痛药、中药丸等不能缓解,遂到我院骨外科就诊。入院查体:左膝关节稍肿胀,左膝关节内侧间隙、髌骨周围压痛明显,关节屈伸活动度10°一100°,左膝内翻约10°;右膝关节内侧间隙压痛,关节屈伸活动度0°一110°,右膝内翻约5°。X线检查:双膝关节骨性关节炎。诊断为:“双膝关节骨性关节炎”。由我院骨外科主任林楚标收治。入院之后林主任的治疗小组拟定手术治疗方案:右膝关节单髁置换术,左膝关节单髁置换术(备左侧全膝置换术)。由于双侧同时行单髁置换技术要求较高,在我院尚属首例,为保障手术能顺利进行,达到预期治疗效果,我院请来了国内著名骨科专家──北京大学医学部临床医学骨科学博士、北京积水潭医院矫形骨科副主任医师柳剑为患者主刀。在完善各项术前准备后,于11月10日上午为患者施行手术,先行右侧单髁置换,再做左侧,术中确认左膝主要是前内侧骨性关节炎为主,最终也施行单髁置换,每侧手术时间约1小时。术后透视,双膝内翻纠正及假体位置理想,安返病房。术后第一天,拨除引流管后,患者扶助行器可以无痛行走,患者脸上满是笑容,一扫6年来痛苦的表情。家属道不完的感谢,做为医生,还有比收到这份感谢更暖心的礼物吗?
据悉,目前膝关节骨性关节炎的阶梯治疗是:截骨─单髁置换─全膝置换。全膝置换适用于晚期多间室病变,是终极的方法;中早期病变可通过截骨、单髁置换治疗,因截骨、单髁置换不破坏前后交叉韧带,不需松解内外侧副韧带,不改变原有关节的运动轨迹,保留了关节的本体感觉,最大程度地保留了关节的运动功能和舒适性,且手术创伤小、恢复快,故称保膝治疗。因效果显著,患者满意度高。近几年来,保膝治疗在国内多地逐步开展。随着内植物材料的革新、技术的改进,原来需要做全膝关节置换的病人约有一半可以通过保膝治疗获益,具有划时代的里程碑意义。我院骨外科林楚标主任曾到积水潭医院专门进修学习保膝手术,他带领的治疗小组也对保膝治疗做了大量的学习和研究,相信在他们的努力下,保膝手术会更广泛地开展,让更多的患者受益。
返回上一页
上一篇:
我院普外科成功开展腹腔镜下胰腺肿瘤切除手术
下一篇:
我院成功举办《2018年呼吸慢病管理及肺康复巡讲》